
Here is the link for the streaming, from 1:08

Here is the link for the streaming, from 1:08

Don’t miss the “Draft Ethical Principles for Therapeutic Assisted Reproductive Technologies” just published by He Jiankui et al. in The CRISPR Journal. It seems the Lulu and Nana’s experiment is at odds even with their own guidelines. We are eager to hear more from He’s voice, his talk in Hong Kong is scheduled on Wednesday, 28 November 2018 (Second International Summit on Human Genome Editing-live broadcast)

The trolley problem is a classic philosophical dilemma, and its variants have been used extensively to test moral intuitions. Scanning the brain of human subjects with functional MRI during task performance has proven useful to understand how emotion and reason interact when we ponder bioethical issues. It would be interesting to adopt those approaches to study the psychological barriers towards controversial innovations such as gene drives. Just imagine you alone are responsible for pressing a button and switching on gene drives in malaria-spreading mosquitoes. Someone is going to die, and you must decide whom to save. Continue reading
More than 60 germline ethics statements have been released by the international community so far (Italy is not included in the figure). Carolyn Brokowski, from the Yale School of Medicine, read and analyzed them all in The CRISPR Journal. A glance at her pie chart reveals a snapshot of the experts’ opinions on the moral permissibility of heritable genome editing. Continue reading
Everyone knows IPCC, the forum created under the auspices of the United Nations to review the state of knowledge on climate change, draw scenarios on its impact, and compare alternative policies. Does the world need a similar body for the biotech revolution ahead, as claimed by Sheila Jasanoff and J. Benjamin Hurlbut in Nature? Is a Global Observatory on Gene Editing the solution to our CRISPR troubles? We asked a pioneer of gene therapy and a pioneer of gene drives, but also a bioethicist, a political scientist, a social psychologist, a science historian. Continue reading
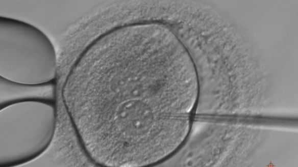
They are the first human embryos edited in Europe and reported in scientific literature. The key difference with experiments already carried out in China and US is that the research published by Nature last week doesn’t have embryonic gene therapy in view. The London Francis Crick’s Institute team, in fact, was not interested in correcting disease-causing mutations but in increasing knowledge on human embryonic development. We asked one of the authors, Alessandro Bertero, to explain goals and results. The Italian researcher was pursuing his Ph.D. at Cambridge when he helped to refine the technique used by Kathy Niakan and colleagues to edit the genome of embryos. He answered our questions via Skype from America, where he continues working on embryonic stem cells as a postdoctoral fellow at Washington University Continue reading

Let’s read these letters: DNA. Who’s the first person who comes to your mind? The chances are high that you say James Watson, the politically incorrect half of the pair that in 1953 unveiled the double helix and the molecular basis of inheritance. It can be argued that this discovery opened the path leading to the invention of CRISPR sixty years later. The scientist who personifies one of the biggest turning points for human culture, now eighty-nine, has written what he thinks of the young technology for genome editing in the latest edition of “DNA. The Story of the Genetic Revolution “. The book, first published in 2003, has just been updated to cover the latest science and technology developments. Continue reading

The exploit announced last week by Nature marks an advancement in CRISPR performance in human embryos big enough to say that yes, germ line editing will probably become a viable option sooner or later. It means that some genetic diseases (at least those caused by a single mutation) can be corrected not only in the treated individuals but also in their offspring. The idea of genetic diseases disappearing from the face of Earth is bound to remain a dream, as Eric Lander explained at the 2015 Washington Summit on Human Gene Editing. In short, with rare Mendelian diseases, the vast majority of situations can currently be addressed by in vitro fertilization and preimplantation genetic diagnosis, while complex diseases are, well, too complex to handle. Anyway, when you come to efficiency and accuracy, results achieved by Shoukhrat Mitalipov and colleagues are exciting: CRISPR science walks on robust and fast legs. As for the bioethics of the experiment, we should try not to get stuck with overused labels. Continue reading