
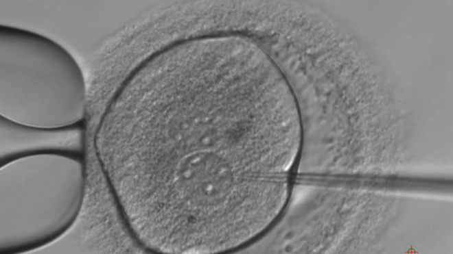
An investigation by The Wall Street Journal has looked into Silicon Valley companies pushing the most controversial frontiers of assisted reproduction. It combines two rather different themes. Number one: the production of numerous embryos from which to choose based on a polygenic score that includes predispositions to hundreds of diseases and even a handful of desirable non-medical traits. Number two: gene-editing of embryos (also known as heritable or germline editing), which we’ve discussed many times since the case of the CRISPR babies in China and which now seems to be gaining new ground (the most talked-about company in this field is called Preventive).
Continue reading


They are the first human embryos edited in Europe and reported in scientific literature. The key difference with experiments already carried out in China and US is that the research published by 